Revealing the Beauty Within: Veneers Before and After Photos
Understanding Veneers
Veneers are a popular cosmetic dental treatment that can transform the appearance of a smile. Let’s explore what veneers are and how they improve smile aesthetics.
What are Veneers?
Veneers are thin, custom-made shells that are designed to cover the front surface of teeth. They are typically made from porcelain or composite resin material. Porcelain veneers are known for their durability, stain resistance, and natural appearance, while composite veneers are a more cost-effective option that can still provide significant smile enhancements.
Veneers are carefully crafted to match the shape, size, and color of your natural teeth. They are bonded to the front of the teeth, effectively hiding various cosmetic imperfections, including discoloration, chips, cracks, and irregularities in shape or alignment. By addressing these concerns, veneers can help individuals achieve a more symmetrical, balanced, and aesthetically pleasing smile.
How Veneers Improve Smile Aesthetics
Veneers offer several benefits that contribute to enhancing smile aesthetics. Some of the key advantages include:
-
Natural Appearance: Veneers are designed to mimic the natural translucency and shine of teeth. They blend seamlessly with the surrounding teeth, creating a harmonious and natural-looking smile.
-
Color Correction: Veneers can effectively mask tooth discoloration that is resistant to traditional whitening methods. Whether the discoloration is due to genetics, medications, or external factors, veneers can provide a brighter and more vibrant smile.
-
Shape and Size Enhancement: Veneers can address concerns related to tooth shape and size. They can lengthen teeth that appear too short, reshape teeth with irregularities, and create a more balanced overall appearance.
-
Alignment and Spacing Improvement: Veneers can help improve the appearance of mildly misaligned or gapped teeth. They can create the illusion of straighter teeth without the need for orthodontic treatment.
By understanding what veneers are and their ability to improve smile aesthetics, individuals can make informed decisions about whether veneers are the right option for them. It’s important to consult with a qualified dentist to determine the most suitable type of veneers for your specific needs. To learn about the differences between veneers and crowns, visit our article on veneers vs. crowns. Additionally, if you’re curious about the lifespan of veneers, check out our article on how long do veneers last.
Veneers Before and After Transformation
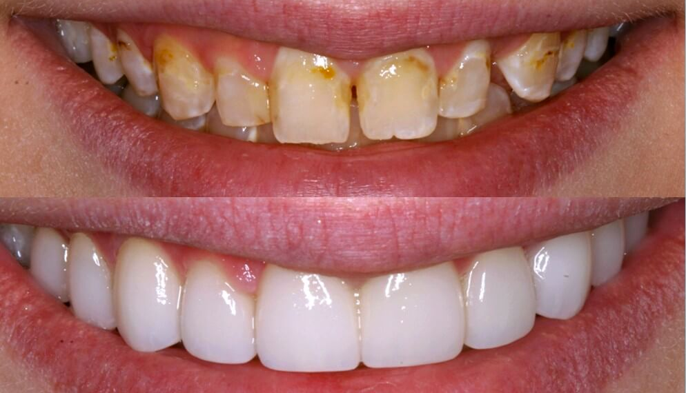
Before and after photos of veneer transformations play a significant role in showcasing the remarkable impact of veneers on a person’s smile. These photos provide visual evidence of the transformative power of veneers and can help individuals make informed decisions about their own dental treatment. In this section, we will explore the importance of before and after photos and provide real-life examples of veneer transformations.
Importance of Before and After Photos
Before and after photos serve as essential tools for both dentists and patients. They allow dentists to demonstrate the potential outcomes of veneer treatment, showcasing the improvements that can be achieved in terms of smile aesthetics. These photos provide patients with a clear visualization of the possibilities, helping them set realistic expectations and make informed decisions about whether veneers are the right choice for them.
Before and after photos also serve as a source of inspiration for individuals considering veneers. By seeing the actual results achieved by others, they can envision the possibilities for their own smiles. These photos can instill confidence and motivate individuals to take the necessary steps towards achieving their desired smile transformation.
Real-life Examples of Veneer Transformations
To better understand the transformative power of veneers, let’s take a look at some real-life examples of veneer transformations. The following table showcases a few common dental concerns and the improvements that can be achieved through veneer treatment:
| Dental Concern | Before | After |
|---|---|---|
| Discolored Teeth | Yellowed and stained teeth | Bright, white, and uniform teeth |
| Chipped or Cracked Teeth | Uneven edges and visible cracks | Smooth and flawless appearance |
| Unevenly Spaced Teeth | Gaps and misalignment | Evenly spaced and aligned teeth |
| Misshapen Teeth | Irregular shapes and sizes | Symmetrical and aesthetically pleasing |
These examples highlight the remarkable transformations that veneers can bring to a person’s smile. However, it’s important to note that each veneer treatment is customized to meet the individual’s specific needs and desired outcomes. For more information on the different types of veneers available, such as porcelain veneers and composite veneers, refer to our article on veneers.
Before and after photos not only demonstrate the aesthetic improvements achieved through veneer treatment but also emphasize the importance of consulting with a skilled dentist. A thorough consultation process is crucial to understand the individual’s unique dental concerns and goals, allowing the dentist to develop a personalized treatment plan tailored to their specific needs. To learn more about the consultation process and the factors to consider when getting veneers, refer to the corresponding sections in this article.
By reviewing before and after photos and consulting with a qualified dental professional, individuals can gain a better understanding of the possibilities and make an informed decision about whether veneers are the right choice for their smile transformation. Additionally, it is important to understand the maintenance and care instructions for veneers to ensure their longevity. Find helpful oral hygiene tips and care instructions in our article on how long do veneers last.
Factors to Consider
When considering veneers as an option to enhance your smile, there are a few important factors to keep in mind. Two key aspects to consider during the veneer process are the consultation process and the customization and personalization of the veneers.
Consultation Process
Before undergoing any dental procedure, it’s crucial to schedule a consultation with a qualified dentist or cosmetic dentist. During this initial appointment, the dentist will evaluate your oral health, discuss your specific concerns and goals, and determine if veneers are the right choice for you.
The consultation process allows you to ask questions, address any concerns, and gain a better understanding of what to expect during the veneer procedure. The dentist will assess various factors, such as the condition of your teeth, the alignment of your bite, and the overall health of your gums. This evaluation helps to ensure that veneers are a suitable option for you and that your dental health is in good condition before proceeding with the treatment.
Customization and Personalization of Veneers
Veneers are customized dental restorations that are specifically designed to enhance the appearance of your teeth. During the veneer process, your dentist will work closely with you to achieve the desired results.
The customization and personalization of veneers involve several important considerations. These include:
-
Material Selection: Veneers can be made from different materials, such as porcelain or composite resin. Each material has its own unique characteristics and advantages. Porcelain veneers are known for their durability, stain resistance, and natural appearance, while composite veneers are a more affordable option that can be completed in a single visit. Discussing these options with your dentist will help you make an informed decision. To learn more about the different types of veneers, you can refer to our article on porcelain veneers and composite veneers.
-
Color and Shade Selection: The color and shade of the veneers play a crucial role in achieving a natural-looking smile. Your dentist will consider factors such as your natural tooth color, skin tone, and desired outcome to select the most appropriate shade for your veneers. By matching the color of the veneers to your natural teeth, they will seamlessly blend in and create a harmonious smile.
-
Tooth Preparation: Before the veneers are placed, a small amount of enamel may need to be removed from the surface of your teeth. This step ensures a proper fit and allows the veneers to adhere securely. Your dentist will carefully evaluate the amount of enamel to be removed, keeping your oral health and tooth structure in mind.
By taking these factors into account, your dentist will create veneers that are tailored to your unique dental needs and aesthetic goals. Remember, the goal is to achieve a beautiful, natural-looking smile that enhances your overall appearance.
Understanding the consultation process and the customization and personalization of veneers will help you make an informed decision and ensure that your veneers meet your expectations. To learn more about the differences between veneers and crowns, you can refer to our article on veneers vs. crowns. Additionally, if you’re curious about the longevity of veneers, our article on how long do veneers last provides valuable information.
Maintaining Veneers
Once you have invested in the beauty and transformation of your smile with veneers, it’s important to maintain them properly to ensure their longevity and continued aesthetic appeal. Here are some oral hygiene tips and care instructions to help you maintain your veneers for years to come.
Oral Hygiene Tips for Veneers
-
Brush regularly: Brush your teeth at least twice a day, using a soft-bristled toothbrush. Opt for a non-abrasive toothpaste to prevent scratching the surface of your veneers. Be thorough yet gentle when brushing around the veneers, paying special attention to the gumline.
-
Floss daily: Flossing is crucial for maintaining good oral hygiene with veneers. Use a gentle floss or interdental brush to clean between your teeth and around the edges of the veneers. This helps remove plaque and food particles that can accumulate and cause dental issues.
-
Avoid staining substances: While veneers are stain-resistant, it’s best to minimize exposure to substances that can potentially discolor them. Limit your consumption of coffee, tea, red wine, and other staining beverages. If you do indulge, rinse your mouth with water afterward or consider using a straw to reduce contact with your veneers.
-
Quit smoking: Smoking not only affects your overall health but can also lead to discoloration of your veneers. If you smoke, consider quitting to maintain the bright and natural appearance of your veneers.
-
Schedule regular dental check-ups: Regular dental visits are essential for maintaining oral health and monitoring the condition of your veneers. Your dentist can identify any issues early on and provide necessary care. It’s recommended to visit your dentist every six months or as advised.
Longevity and Care Instructions
With proper care, veneers can last for many years. However, it’s important to follow these care instructions to ensure their longevity:
| Care Instructions for Veneers |
|---|
| Avoid biting or chewing on hard objects, such as ice or pen caps, as this can cause damage to your veneers. |
| Use a nightguard if you tend to grind your teeth while sleeping, as grinding can put excessive pressure on the veneers. |
| If you participate in contact sports or activities with a risk of facial injury, wear a mouthguard to protect your veneers. |
| Be cautious when opening packages or containers with your teeth, as this can chip or damage the veneers. |
| In case of any discomfort or if you notice changes in your veneers, contact your dentist for an evaluation. |
By following these oral hygiene tips and care instructions, you can maintain the beauty and integrity of your veneers for an extended period. Remember, maintaining good overall oral health, including regular brushing, flossing, and dental check-ups, is vital for the longevity of your veneers. If you have any concerns or questions about your veneers, consult with your dentist for personalized advice. For more information on the lifespan of veneers, check out our article on how long do veneers last.
