Understanding Veneers
Veneers are a popular cosmetic dental treatment that can transform your smile. In this section, we will delve into what veneers are and the different types available.
What Are Veneers?
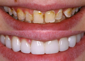
Veneers are thin, custom-made shells that are bonded to the front surface of your teeth. They are designed to improve the appearance of your smile by enhancing the shape, size, color, and alignment of your teeth. Veneers are typically made from either porcelain or composite resin materials.
Porcelain veneers are considered the more durable and stain-resistant option. They are created in a dental laboratory based on impressions of your teeth and are then permanently bonded to the teeth by your dentist. Porcelain veneers closely mimic the natural translucency and shine of natural teeth, providing a beautiful and natural-looking result. To learn more about porcelain veneers, visit our article on porcelain veneers.
Composite veneers, on the other hand, are made from a tooth-colored resin material that is directly applied and shaped by your dentist. This type of veneer can often be done in a single dental visit, as the material is applied and sculpted layer by layer. While composite veneers may not have the same longevity as porcelain veneers, they can still provide a significant improvement in the appearance of your smile. For more information on composite veneers, check out our article on composite veneers.
Types of Veneers
Veneers can be categorized into two main types: porcelain veneers and composite veneers. Each type has its own set of advantages and considerations.
| Type | Material | Durability | Stain Resistance | Procedure | Longevity |
|---|---|---|---|---|---|
| Porcelain Veneers | Porcelain | Highly durable | Excellent stain resistance | Requires multiple visits | 10-15 years or more |
| Composite Veneers | Composite resin | Less durable than porcelain | Prone to staining over time | Can be completed in one visit | 5-7 years |
The choice between porcelain veneers and composite veneers depends on various factors, including your specific dental needs, budget, and desired outcome. Consulting with a skilled dentist will help you determine the most suitable veneer option for your individual circumstances.
Now that we have explored what veneers are and the different types available, let’s move on to understanding the factors that can affect the longevity of veneers.
Lifespan of Veneers
Veneers are a popular cosmetic dental treatment that can transform the appearance of your teeth. Understanding the lifespan of veneers is essential in making an informed decision about this dental procedure. Let’s explore the factors that can affect the longevity of veneers and the average lifespan you can expect.
Factors Affecting Veneer Longevity
Several factors can influence how long veneers last. These include:
-
Material: Veneers can be made from different materials such as porcelain or composite resin. Porcelain veneers are known for their durability and resistance to staining, making them a popular choice for long-lasting results. On the other hand, composite veneers may not be as durable and may require more maintenance over time.
-
Oral Hygiene: Proper oral hygiene practices play a significant role in the longevity of veneers. Maintaining good oral hygiene, including regular brushing, flossing, and using a non-abrasive toothpaste, can help prevent plaque buildup and protect the veneers from damage.
-
Teeth Grinding (Bruxism): Individuals who grind or clench their teeth may put extra pressure on their veneers, increasing the risk of chipping or cracking. Using a nightguard or splint, especially during sleep, can help protect veneers from the effects of bruxism.
-
Diet and Lifestyle: Certain dietary habits, such as consuming excessive amounts of acidic or staining foods and beverages, can affect the lifespan of veneers. Similarly, habits like smoking or chewing on hard objects can also lead to premature wear and damage to veneers.
-
Proper Placement and Maintenance: The skill and expertise of the dentist in placing the veneers, as well as regular dental check-ups and maintenance, can significantly impact their lifespan. Ensuring that your veneers are professionally placed and undergoing routine examinations can help identify any issues early on and prevent further damage.
Average Lifespan of Veneers
While the exact lifespan of veneers can vary depending on the factors mentioned above, on average, veneers can last between 10 to 15 years. With proper care and maintenance, some veneers can even last longer. However, it’s important to note that veneers are not permanent and may eventually require replacement.
Regular dental check-ups are crucial in monitoring the condition of your veneers and identifying any signs of wear or damage. Your dentist can provide personalized advice on maintaining your veneers and recommend the best course of action if replacement becomes necessary.
Understanding the factors that can affect the lifespan of veneers and following proper oral hygiene practices can help ensure that your veneers last as long as possible. However, it’s important to consult with your dentist for specific recommendations based on your unique dental situation.
Maintaining Veneers
To ensure the longevity and appearance of your veneers, proper maintenance and care are essential. By incorporating good oral hygiene practices and scheduling regular dental check-ups, you can help extend the lifespan of your veneers.
Proper Oral Hygiene Practices
Maintaining excellent oral hygiene is crucial in preserving the quality and durability of your veneers. Here are some recommended practices:
-
Brushing: Brush your teeth at least twice a day using a soft-bristle toothbrush and a non-abrasive toothpaste. Gently brush the surface of your veneered teeth, paying attention to the gumline and the areas where the veneers meet your natural teeth.
-
Flossing: Floss daily to remove plaque and debris from between your teeth, including the areas around your veneers. Use a gentle back-and-forth motion, being careful not to snap the floss against the veneers.
-
Avoid Staining Substances: Limit your consumption of staining substances such as coffee, tea, red wine, and tobacco. If you do consume them, rinse your mouth with water afterward or brush your teeth to minimize staining.
-
Avoid Excessive Force: Avoid biting or chewing on hard objects, such as ice or pens, as this can chip or crack your veneers. Additionally, refrain from using your teeth as tools to open packages or bottles.
-
Mouthguards: If you participate in sports or grind your teeth at night, consider using a mouthguard to protect your veneers from potential damage.
Regular Dental Check-ups
Regular dental check-ups are crucial for maintaining the health and longevity of your veneers. During these visits, your dentist will assess the condition of your veneers, clean your teeth, and address any oral health concerns. Here’s why regular check-ups are important:
-
Professional Cleaning: Professional cleanings remove plaque and tartar buildup, which can contribute to gum disease and compromise the appearance of your veneers. Your dentist or dental hygienist will clean your teeth, including the surfaces of your veneers, using specialized tools.
-
Examination: Your dentist will carefully examine your veneers to ensure they are in good condition and properly bonded to your teeth. They will check for any signs of damage, such as chips or cracks, and address any concerns.
-
Oral Health Evaluation: Regular check-ups allow your dentist to assess your overall oral health and detect any issues early on. This includes monitoring the health of your gums, natural teeth, and surrounding tissues.
By following these maintenance practices and scheduling regular dental check-ups, you can help preserve the lifespan and appearance of your veneers. If you have any questions or concerns about your veneers, don’t hesitate to consult with your dentist.
Extending the Lifespan of Veneers
Once you have invested in veneers to enhance your smile, it’s important to take steps to extend their lifespan and maintain their appearance. By following proper oral care practices and being mindful of certain factors, you can help prolong the longevity of your veneers.
Tips for Prolonging Veneer Lifespan
-
Practice Good Oral Hygiene: Brush your teeth at least twice a day with a non-abrasive toothpaste and a soft-bristled toothbrush. Use gentle, circular motions to clean the surface of your veneers. Don’t forget to floss daily to remove plaque and food particles from between your teeth and veneers. By maintaining excellent oral hygiene, you can prevent the buildup of bacteria that could lead to gum disease or other oral health issues.
-
Avoid Excessive Force: While veneers are durable, they are not indestructible. Avoid habits such as biting your nails, chewing on hard objects, or opening packages with your teeth. Excessive force can put stress on your veneers and may cause them to chip or crack.
-
Wear a Mouthguard: If you participate in contact sports or grind your teeth at night, wearing a mouthguard can help protect your veneers from damage. A custom-made mouthguard, provided by your dentist, offers the best fit and protection.
-
Limit Stain-Causing Foods and Drinks: Certain foods and beverages can stain your natural teeth and veneers over time. To maintain the color of your veneers, limit your consumption of coffee, tea, red wine, and other staining substances. When you do indulge, rinse your mouth with water afterward or consider using a straw to minimize contact with your veneers.
-
Quit Smoking: Smoking not only poses significant risks to your overall health but can also lead to discoloration of your veneers. The tar and nicotine in tobacco products can cause yellowing and staining, diminishing the appearance of your veneers. Quitting smoking will not only benefit your veneers but also improve your oral and overall health.
When to Consider Veneer Replacement
While veneers are designed to be long-lasting, they will eventually need to be replaced. The lifespan of veneers can vary depending on various factors, including oral hygiene practices, lifestyle habits, and the material used. On average, porcelain veneers can last between 10 to 15 years, while composite veneers tend to have a shorter lifespan of around 5 to 7 years.
It’s essential to monitor the condition of your veneers and visit your dentist regularly for check-ups. If you notice any signs of damage, such as cracks, chips, or discoloration, consult your dentist promptly. They can assess the situation and determine if veneer replacement is necessary.
By following these tips for prolonging veneer lifespan and being proactive in seeking dental care, you can enjoy your beautiful smile for many years to come. If you’re considering veneers or want to explore other dental options, learn more about veneers before and after and the difference between porcelain veneers and composite veneers.







